Close Menu
  • Home
  • UNSUBSCRIBE
  • News
  • Lifestyle
  • Tech
  • Entertainment
  • Sports
  • Travel
Facebook X (Twitter) WhatsApp
Trending
  • Some fungi can influence the weather ‪—‬ and now we know how they do it
  • Neanderthals’ brains weren’t to blame for their demise, new study suggests
  • NASA Curiosity rover uncovers rock with 7 new organic molecules on Mars
  • Mystery of golden orb found in depths of ocean off Alaska finally solved: ‘Everyone was like, What the heck? What is that?’
  • How everything you do is being monitored in an AI-fuelled ‘surveillance capitalism system’ that’s ramping up aggressively
  • Amazfit Active 3 Premium review: A wallet- and beginner-friendly running watch
  • Miniature camelid effigy: A silver llama with a wry smile that the Inca crafted 600 years ago
  • Antarctica’s sea ice suddenly started shrinking a decade ago — and deep-diving robots are revealing why
Facebook X (Twitter) WhatsApp
Baynard Media
  • Home
  • UNSUBSCRIBE
  • News
  • Lifestyle
  • Tech
  • Entertainment
  • Sports
  • Travel
Baynard Media
Home»Lifestyle»Diagnostic dilemma: A man’s back pain led to the discovery of a third kidney
Lifestyle

Diagnostic dilemma: A man’s back pain led to the discovery of a third kidney

EditorBy EditorMarch 18, 2026No Comments3 Mins Read
Share Facebook Twitter Pinterest LinkedIn Tumblr Reddit Telegram Email
Share
Facebook Twitter LinkedIn Pinterest Email

The patient: A 31-year-old man in Wardha, India

The symptoms: The man visited a medical center after experiencing five days of pain on the right side of his lower back, as well as a burning sensation during urination and a fever higher than 102.2 degrees Fahrenheit (39 degrees Celsius).

What happened next: During a physical examination, doctors noted that the right side of the man’s abdomen was painful when touched. His urine was cloudy, but his heart rate, blood pressure and respiration were within the normal range.

Article continues below


You may like

The diagnosis: Blood work showed the man had elevated levels of leukocytes, white blood cells that fight infection. A urine culture identified a type of bacteria called Klebsiella pneumoniae, which is often associated with urinary tract infections, doctors wrote in a report of the case. Together, these findings confirmed the man had an active infection.

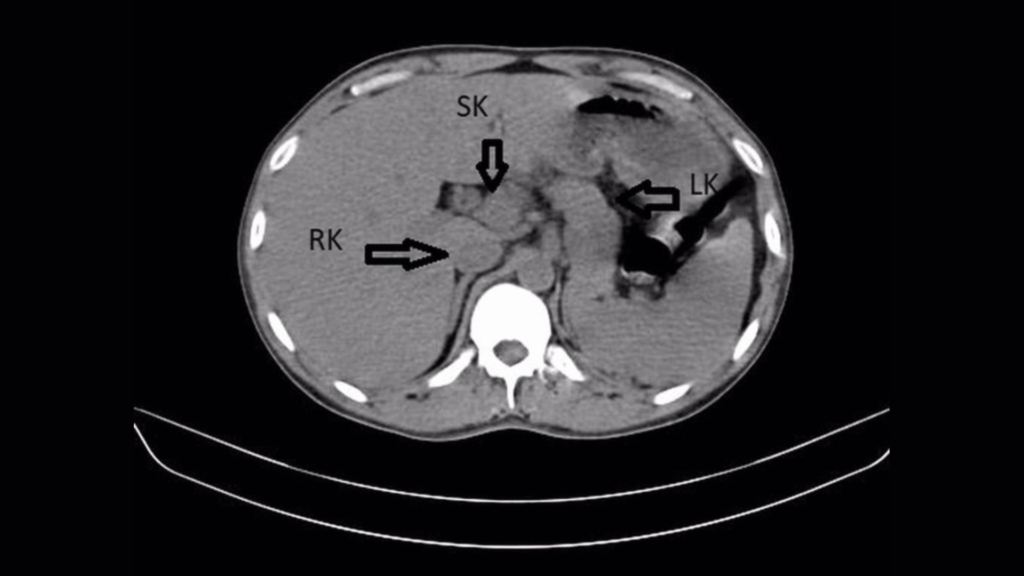
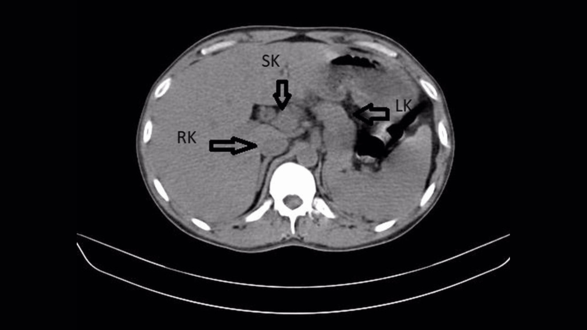
But in addition, an ultrasound and a CT scan of the patient’s abdomen revealed something unexpected: a third kidney, also known as a supernumerary kidney. It was fused to the man’s right kidney, creating a horseshoe shape.

A supernumerary kidney is a congenital anomaly that is thought to emerge during fetal development. It appears due to abnormal cell division in the cord that later forms the kidneys. A supernumerary kidney can sometimes lead to kidney infections, but the condition does not always affect normal kidney function and often goes undetected, according to the report.

In this case, the patient’s left and right kidneys were swollen and showed accumulations of calculus, or mineral crystals. These hard crystals form when urine is more concentrated; small “stones” often pass normally during urination, but can lead to infection if they linger untreated in the kidneys.

Get the world’s most fascinating discoveries delivered straight to your inbox.

The signs of infection were more serious in the left kidney, with calculus buildup in the left ureter, the tube that connects the left kidney to the bladder.

The treatment: Doctors inserted a thin plastic tube, called a stent, into the left ureter to assist with urine drainage. Then, they gave the man intravenous courses of the antibiotics piperacillin and tazobactam three times daily, as well as the antibiotic levofloxacin every other day.

After 48 hours of medication and hydration, the patient’s condition improved. He was discharged and told to follow up in one month to have the stent removed and to manage the calculus buildup in his kidney.

What makes the case unique: Supernumerary kidneys are extremely rare, with fewer than 100 new cases reported worldwide each year.

A fused “horseshoe” appearance with another kidney is even rarer, with only five cases reported in the scientific literature. Third kidneys can also be completely separate or loosely connected to another kidney by a thin layer of tissue.

Sometimes, a patient learns of their extra kidney during treatment for an unrelated ailment. For instance, a man from Brazil discovered that he had a third kidney after he visited a hospital for lower back pain caused by a herniated disk, Live Science previously reported. When doctors performed a CT scan of the painful area, they found a supernumerary kidney fused to the right kidney near the man’s pelvis. All three kidneys appeared to be functioning normally and were not the cause of his discomfort in that case.

This article is for informational purposes only and is not meant to offer medical advice.

Nimkar, S. V., Yelne, P., Gaidhane, S., Acharya, S., Kumar, S., & Batra, N. (2022). Supernumerary kidney (triple kidney) with Horseshoe Malformation: A case report. Cureus. https://doi.org/10.7759/cureus.31436

Source link

Share. Facebook Twitter Pinterest LinkedIn Tumblr Email
Previous ArticleAlarmed in Virginia: 5 reasons why concern is rising over Fairfax County schools
Next Article Israel says it killed another Iranian leader, but that doesn’t mean it’s winning the war
Editor
  • Website

Related Posts

Lifestyle

Some fungi can influence the weather ‪—‬ and now we know how they do it

April 28, 2026
Lifestyle

Neanderthals’ brains weren’t to blame for their demise, new study suggests

April 28, 2026
Lifestyle

NASA Curiosity rover uncovers rock with 7 new organic molecules on Mars

April 27, 2026
Add A Comment

Comments are closed.

Categories
  • Entertainment
  • Lifestyle
  • News
  • Sports
  • Tech
  • Travel
Recent Posts
  • Some fungi can influence the weather ‪—‬ and now we know how they do it
  • Neanderthals’ brains weren’t to blame for their demise, new study suggests
  • NASA Curiosity rover uncovers rock with 7 new organic molecules on Mars
  • Mystery of golden orb found in depths of ocean off Alaska finally solved: ‘Everyone was like, What the heck? What is that?’
  • How everything you do is being monitored in an AI-fuelled ‘surveillance capitalism system’ that’s ramping up aggressively
calendar
April 2026
M T W T F S S
 12345
6789101112
13141516171819
20212223242526
27282930  
« Mar    
Recent Posts
  • Some fungi can influence the weather ‪—‬ and now we know how they do it
  • Neanderthals’ brains weren’t to blame for their demise, new study suggests
  • NASA Curiosity rover uncovers rock with 7 new organic molecules on Mars
About

Welcome to Baynard Media, your trusted source for a diverse range of news and insights. We are committed to delivering timely, reliable, and thought-provoking content that keeps you informed
and inspired

Categories
  • Entertainment
  • Lifestyle
  • News
  • Sports
  • Tech
  • Travel
Facebook X (Twitter) Pinterest WhatsApp
  • Contact Us
  • About Us
  • Privacy Policy
  • Disclaimer
  • UNSUBSCRIBE
© 2026 copyrights reserved

Type above and press Enter to search. Press Esc to cancel.