
The patient: A 45-year-old man in Saudi Arabia
The symptoms: The patient went to the hospital after experiencing 10 days of gut pain and fever. Doctors performed an ultrasound of the man’s abdomen and found an abscess — a pus-filled mass — in the right lobe of his liver. They drained the abscess and gave the patient a 10-day course of antibiotics. His fever subsided, and the man was sent home.
However, a month later, the man ended up in the emergency room after experiencing six consecutive days of abdominal pain and a fever above 102.4 degrees Fahrenheit (39.1 degrees Celsius) — an apparent relapse of symptoms.
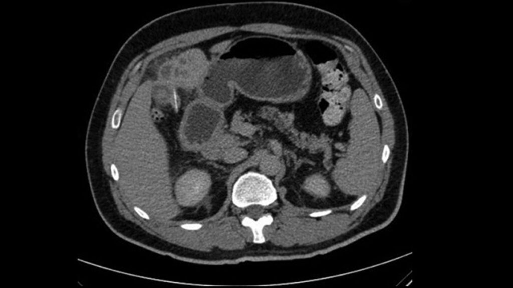
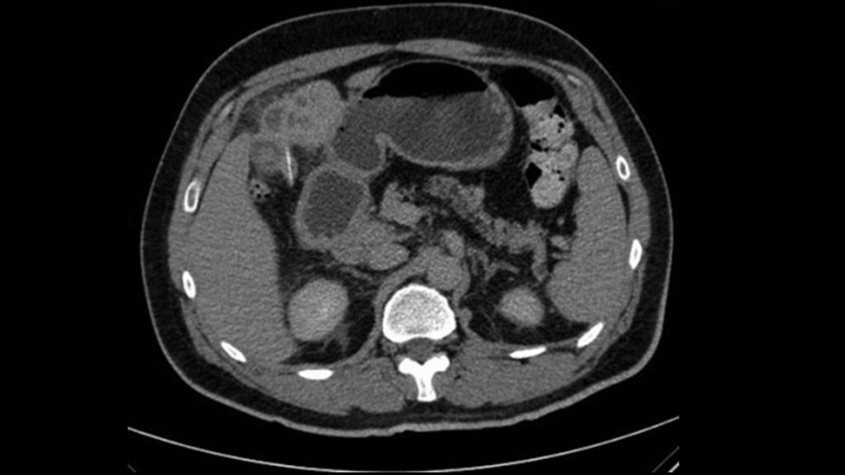
What happened next: During the man’s second hospital visit, blood tests showed that he had an elevated count of white blood cells, a type of immune cell that fights infections, and lower-than-average levels of albumin, a protein produced in the liver. Doctors conducted an abdominal X-ray but detected no abnormalities. A computed tomography (CT) scan of the patient’s abdomen showed that his kidneys, spleen, pancreas and gallbladder looked normal, the doctors wrote in a report of the case.
However, when the medical team examined the central region of the patient’s liver, they found two anomalies. One was a lesion that looked like an abscess, and the other was a solid, twig-like object inside that lesion measuring about 1 inch (2.5 centimeters) long.
The diagnosis: The doctors suspected that the unidentified object had caused the abscess and that it likely resulted in the patient’s first abscess a month prior, as well.
The treatment: After giving the patient antibiotics, the doctors performed a type of abdominal surgery called a laparotomy to remove the foreign object. It turned out to be a fish bone.
The patient said he had probably swallowed it while eating fish during a meal about five months earlier, but he did not recall feeling anything unusual at the time. Post-surgery, the man’s condition improved. Over the next three months, the hospital monitored his health through follow-up visits, and he had no further abdominal issues.
What makes the case unique: Liver abscesses are rare. In North America, about two cases are reported per 100,000 people each year, and estimates for other locations can reach about 17 per 100,000 people annually. The most common causes of these pus-filled lesions are infections that originate in the blood, bile ducts or abdominal organs.
Notably, the patient had a healed scar in a section of the small intestine called the duodenal bulb. This suggested that the swallowed fish bone had probably pierced the man’s intestinal wall and then migrated from there into his liver.
Most small fish bones, if swallowed, pass harmlessly through the gut within about a week, according to the case report.
This article is for informational purposes only and is not meant to offer medical advice.
